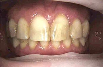
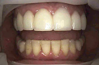
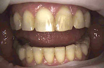
Incredible results and inspiring journeys; see some of our patients’ before and after photos the next time you visit our practice.

Fletcher Heights Dental Care, P.C.
Incredible results and inspiring journeys; see some of our patients’ before and after photos the next time you visit our practice.
Don’t Wait
Reviews
